
Wissenschaftler der Universität Genf haben die Schlüsselrolle einer Form von Aktin bei der Mechanik der Epithelmembranen und der Dynamik der Komponenten der Zell-Zell-Verbindungen aufgezeigt.
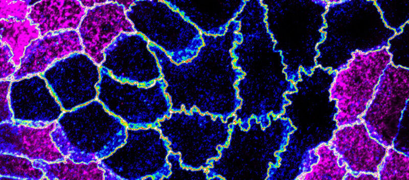
Unsere Haut und Schleimhäute werden von Epithelzellen geschützt. Dieses ’Barriere’-Gewebe erfüllt seine Funktion durch spezialisierte Strukturen, die als ’Übergänge’ bezeichnet werden. Sie sorgen für den Zusammenhalt der Zellen und regulieren den räumlichen Austausch zwischen den Zellen. Forscherinnen der Universität Genf haben in Zusammenarbeit mit der National University of Singapore (NUS) und dem Institut für Physikalische Chemie (IPC) in Göttingen die Rolle eines bestimmten Proteins, des Gamma-Aktins, bei der Organisation und Mechanik der Epithelzellen und ihrer Verbindungsstellen untersucht. Ihre Arbeit, die in Nature Communications veröffentlicht wurde, enthüllt einen Mechanismus der gegenseitigen Abhängigkeit der verschiedenen Formen der Zytoskelettproteine Aktin und Myosin und deren Funktion. Das Team zeigt auch eine Schlüsselrolle von Gamma-Actin bei der Steifheit der Zellmembranen und der Dynamik der Verbindungsproteine, ein Mechanismus, der möglicherweise an der Taubheit beteiligt ist.
Das Epithel ist ein grundlegendes Gewebe, das die Körperoberfläche bedeckt und das Innere vieler Organe auskleidet. Es besteht aus fest miteinander verbundenen Epithelzellen und spielt eine entscheidende Rolle beim Schutz vor äußeren Einflüssen, z. B. durch Krankheitserreger.
Diese Funktion beruht zum großen Teil auf dem Vorhandensein von "Adhäsionsverbindungen" und "Tight Junctions", die wie Proteinschlösser benachbarte Zellen miteinander verbinden und so das Gewebe abdichten.
Die Tight Junctions regulieren den Durchgang von Molekülen in die Organe hinein und aus ihnen heraus. So erleichtern sie beispielsweise die Aufnahme von Nährstoffen im Darm und helfen bei der Filtration von Stoffen in den Nieren.
Das Labor von Sandra Citi, assoziierte Professorin am Departement für Molekular- und Zellbiologie der naturwissenschaftlichen Fakultät der Universität Genf, befasst sich mit der Frage, wie die Tight Junctions mit dem Zytoskelett - dem inneren Gerüst der Zellen - interagieren, um die Zellarchitektur, aber auch die verschiedenen Funktionen, die das Epithel ausübt, zu regulieren.
Eine Erklärung für den Hörverlust?
In einer aktuellen Studie untersuchte das Team von Sandra Citi die Rolle von Gamma-Aktin - einem Bestandteil des Zytoskeletts - bei der Organisation der Zellverbindungen und fand heraus, dass bei Abwesenheit von Gamma-Aktin eine andere Form von Aktin, Beta-Aktin, vermehrt produziert wird, was von der Zunahme verschiedener Myosine abhängig ist. Diese Veränderungen machen die apikale Membran - also die Spitze der Zelle - flexibler und einige Komponenten der Tight Junctions beweglicher, ohne jedoch die von diesen Tight Junctions gebildete Barriere zu beeinflussen’, erklärt Marine Maupérin, Postdoktorandin an der Abteilung für Molekular- und Zellbiologie der naturwissenschaftlichen Fakultät der Universität Genf und Erstautorin der Studie.
Gamma-Actin würde also der apikalen Membran eine größere Steifigkeit verleihen, indem es ein Netzwerk von Filamenten bildet, das stärker und steifer ist als das aus Beta-Actin-Filamenten bestehende. Dieses Ergebnis ist besonders interessant, da die Steifigkeit der Apikalmembran für die Hörfunktion von entscheidender Bedeutung ist", so Sandra Citi, die die Arbeit leitete.
Tatsächlich weisen gamma-Aktin-defiziente Mäuse eine veränderte Architektur der apikalen Oberfläche der Epithelzellen und einen fortschreitenden Hörverlust auf. Eine steifere kortikale Membran könnte notwendig sein, um den ständigen mechanischen Reizen standzuhalten, denen die Haarzellen, die das Innenohr auskleiden, ausgesetzt sind. Die genauere Untersuchung der Rolle von Gamma-Aktin bei der Aufrechterhaltung der Zellintegrität könnte somit zum Verständnis der Pathologien beitragen, die beispielsweise zu Hörverlust führen.



