Découvrir la biologie d’une maladie pédiatrique défigurante

- EN- FR
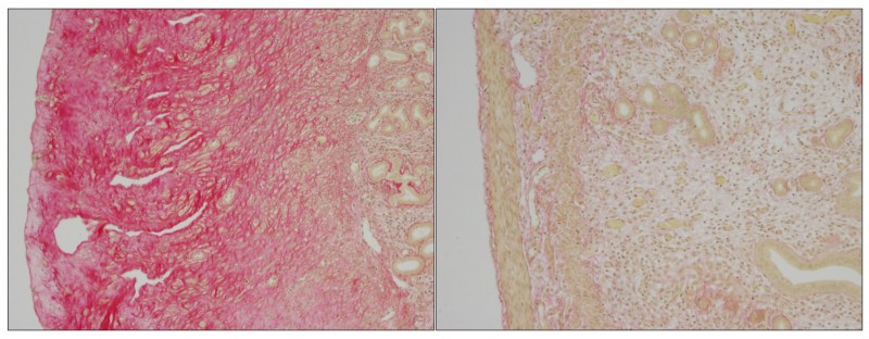
Accumulation de matériel extracellulaire dans un utérus de souris. © EPFL
Accumulation de matériel extracellulaire dans un utérus de souris. © EPFL
Des scientifiques de l'EPFL ont identifié le mécanisme biologique derrière le Syndrome de la fibromatose hyaline, maladie défigurante, douloureuse et potentiellement mortelle. Légende de l'image: L'absence d' ANTXR2 conduit à l'accumulation de matériel extracellulaire dans l'utérus des souris, ce qui les rend stériles (à gauche). La suppression du collagène 6 dans les souris n'exprimant pas ANTXR2 conduit à la restauration de la structure et fonction de l'utérus (à droite). Ceci indique que c'est bien l'accumulation de collagène 6 qui est responsable de la disruption du tissu utérin en l'absence d'ANTXR2, ce dernier jouant donc un rôle crucial dans la dégradation du collagène 6. Le Syndrome de la fibromatose hyaline (HFS) est une maladie génétique rare mais grave, qui affecte les bébés, les enfants et les adultes. Une substance vitreuse nommé hyaline s'accumule dans la peau et divers organes du patient, provoquant des déformations douloureuses et pouvant conduire à une mort prématurée. La maladie est provoquée par des mutations génétiques qui détruisent la fonction d'une protéine dont la fonction physiologique est mal connue.
account creation

TO READ THIS ARTICLE, CREATE YOUR ACCOUNT

And extend your reading, free of charge and with no commitment.



Your Benefits

  • Access to all content
  • Receive newsmails for news and jobs
  • Post ads

myScience