wire - news in brief
University of Basel
Results 201 - 250 of 265.
Life Sciences - 17.11.2016

We humans walk with our feet. This is true, but not entirely. Walking, as part of locomotion, is a coordinated whole-body movement that involves both the arms and legs. Researchers at the Biozentrum of the University of Basel and the Friedrich Miescher Institute for Biomedical Research have identified different subpopulations of neurons in the spinal cord with long projections.
Chemistry - Life Sciences - 02.11.2016

Scientists from the University of Basel have succeeded in organizing spherical compartments into clusters mimicking the way natural organelles would create complex structures.
Health - 01.11.2016

It is a well-known fact that fitness and well-being go hand in hand. But being in good shape also protects against the health problems that arise when we feel particularly stressed at work. As reported by sports scientists from the University of Basel and colleagues from Sweden, it therefore pays to stay physically active, especially during periods of high stress.
Astronomy & Space - Earth Sciences - 24.10.2016
Swiss Researchers Fly Into Weightlessness
The dream of weightlessness came true on Saturday for two researchers from the University of Basel. During a parabolic flight, the scientists tested a newly developed measuring device under reduced gravity. The instrument analyzes the deposition of sediments and is intended to support the search for life on Mars.
Health - 21.10.2016

Scientists at the University of Basel discovered a fundamental new mechanism explaining the inadequate immune defense against chronic viral infection.
Physics - Materials Science - 17.10.2016

A new type of atomic force microscope (AFM) uses nanowires as tiny sensors. Unlike standard AFM, the device with a nanowire sensor enables measurements of both the size and direction of forces. Physicists at the University of Basel and at the EPF Lausanne have described these results in the recent. Nanowires are extremely tiny filamentary crystals which are built-up molecule by molecule from various materials and which are now being very actively studied by scientists all around the world because of their exceptional properties.
Life Sciences - Psychology - 04.10.2016
Do Older People Take Fewer Risks?
Studies by the University of Basel have shown that whether and how risk-taking propensity varies over a person's life span depends in part on how risk taking is measured. When subjects are asked how they assess their risk propensity, a clear reduction with age is the result. However, this reduction is not necessarily observed for specific risk-taking tasks.
Physics - Computer Science - 21.09.2016

With the help of artificial intelligence, chemists from the University of Basel in Switzerland have computed the characteristics of about two million crystals made up of four chemical elements. The researchers were able to identify 90 previously unknown thermodynamically stable crystals that can be regarded as new materials.
Chemistry - Physics - 13.09.2016

On-surface chemical reactions can lead to novel chemical compounds not yet synthesized by solution chemistry. The first-step, second-step, and third-step products can be analyzed in detail using a high-resolution atomic force microscope, as demonstrated in Nature by scientists from the Swiss Nanoscience Institute and the Department of Physics at Basel University and their colleagues from Japan and Finland.
Life Sciences - Health - 08.09.2016

Bacteria fight their competitors with molecular spear guns, the so-called Type VI secretion system. When firing this weapon they also unintentionally hit their own kind.
Health - Physics - 06.09.2016

Changes in the genetic make-up of tissue samples can be detected quickly and easily using a new method based on nanotechnology. This report researchers from the Swiss Nanoscience Institute, the University of Basel and the University Hospital Basel in first clinical tests with genetic mutations in patients with malignant melanoma.
Health - Life Sciences - 01.09.2016

Researchers at the University and University Hospital of Basel succeed in imaging microscopically small structures of the human brain in three dimensions and automatically detecting the number of Purkinje cells in this tissue. They report these results in the journal Scientific Reports. The human being consists of thousand times more cells than the Milky Way has stars.
Health - Life Sciences - 09.08.2016

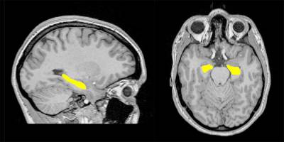
It is impossible to predict the onset of schizophrenic psychosis. If factors linked to a risk of psychosis can be identified, however, these may yield significant insights into its underlying mechanisms. Basel-based scientists have now established a link between particular genes and the size of important brain structures in individuals with an elevated risk of psychosis.
Physics - Chemistry - 03.08.2016
Better Contrast Agents Based on Nanoparticles
Scientists at the University of Basel have developed nanoparticles which can serve as efficient contrast agents for magnetic resonance imaging. This new type of nanoparticles produce around ten times more contrast than the actual contrast agents and are responsive to specific environments. The journal Chemical has published these results.
Physics - 26.07.2016

In a quantum computer, quantum states form the smallest information units and replace the binary code used by today's computers. Until now, these so-called qubits were typically created in a semiconductor using individual electrons, but these were vulnerable to dephasing. Now, an international team of researchers led by physicists from the University of Basel has succeeded in using a missing electron to create a qubit.
Life Sciences - Health - 22.07.2016

Prof. Fiona Doetsch's research team at the Biozentrum, University of Basel, has discovered that the choroid plexus, a largely ignored structure in the brain that produces the cerebrospinal fluid, is an important regulator of adult neural stem cells. The study recently published in 'Cell Stem Cell? also shows that signals secreted by the choroid plexus dynamically change during aging which affects aged stem cell behavior.
Physics - Computer Science - 18.07.2016

One day, quantum computers will perform rapid calculations and solve complex tasks for us. However, there are a few hurdles to overcome along the way.
Health - Life Sciences - 24.06.2016
Aggressiveness of Acute Myeloid Leukemia Elucidated
Scientists at the University of Basel and the Friedrich Miescher Institute for Biomedical Research (FMI) have discovered why acute leukemias with the same genetic abnormality vary in their aggressiveness based on their cellular origin. They found that the cancer inducing alteration is particularly devastating if it occurs in early hematopoietic stem cells expressing certain genes involved in cell migration and tissue invasion.
Health - Life Sciences - 22.06.2016

The inflammasome plays an important role in our body's immune defense. This protein complex initiates an emergency program in the immune cells when invaded by a pathogen. In 'Nature ', a research team from the University of Basel's Biozentrum reports that a specific inflammasome protein forms long filaments to amplify the inflammatory reaction.
Life Sciences - Health - 10.06.2016
Blood Test Provides Information on Alzheimer’s and atypical Parkinson s
Reliable information can be obtained on the progression of dementias by measuring specific proteins in the blood and cerebrospinal fluid. A test of this kind is especially significant to the development of new therapies, as reported in the journal Neuron by scientists from the University of Basel and University Hospital Basel, along with international colleagues.
Computer Science - 31.05.2016

Computer scientists at the University of Basel have developed a new method for conducting image and video database searches based on hand-drawn sketches. The user draws a sketch on a tablet or interactive paper, and the system searches for a matching image in the database. The new method is free to access for researchers.
Life Sciences - Health - 23.05.2016
Important for Learning: Protein Strengthens Neuron Connections
Learning leaves its mark on the brain. The recently identified 'learning protein' Copine-6 plays a crucial role in this process. Scientists from the Biozentrum at the University of Basel have now discovered that this protein strengthens the connections between nerve cells, accelerating the flow of information and thereby forming the basis for learning and memory.
Health - Psychology - 13.05.2016
Prenatal Stress Could Enhance Protective Mechanisms of Babies
Maternal stress and depression during pregnancy may activate certain protective mechanisms in babies. Psychologists from the University of Basel together with international colleagues report that certain epigenetic adaptations in newborns suggest this conclusion. Their In their study, the researchers observed that increased concentrations of maternal stress hormones, depressive symptoms and general adversities during pregnancy were accompanied by epigenetic changes in the child.
Physics - Health - 03.05.2016

Predictions from quantum physics have been confirmed by countless experiments, but no one has yet detected the quantum physical effect of entanglement directly with the naked eye. This should now be possible thanks to an experiment proposed by a team around a theoretical physicist at the University of Basel.
Health - Pharmacology - 28.04.2016

When medication is used to shut off the oxygen supply to tumor cells, the cells adapt their metabolism in the medium term - by switching over to producing energy without oxygen. This observation by biomedical scientists at the University of Basel and University Hospital Basel could be used for treatments that can inhibit tumor growth in the long term, as the researchers report in the latest issue of the journal Cell Reports.
Physics - 21.04.2016

The microscopic world is governed by the rules of quantum mechanics, where the properties of a particle can be completely undetermined and yet strongly correlated with those of other particles. Physicists from the University of Basel have observed these so-called Bell correlations for the first time between hundreds of atoms.
Environment - Physics - 15.04.2016

Forest trees use carbon not only for themselves; they also trade large quantities of it with their neighbours. Botanists from the University of Basel report this . The extensive carbon trade among trees - even among different species - is conducted via symbiotic fungi in the soil. It is well known that plants take up carbon dioxide from the air by photosynthesis.
Materials Science - Electroengineering - 06.04.2016
Researchers of the University of Basel and Empa have gotten a step closer to engineering artificial muscles: they have developed a method to generate nanometer-thin silicone films.
Life Sciences - Pharmacology - 15.03.2016

Natural products from bacteria and fungi are an important source of current and novel drugs, such as antibiotics.
Health - Pharmacology - 11.03.2016

Liposomes are currently used as drug delivery vehicles but recognized by the immune system. Scientists from the universities of Basel and Fribourg have shown that special artificial liposomes do not elicit any reaction in human and porcine sera as well as pigs. The study was published in the Journal Nanomedicine: Nanotechnology, Biology, and Medicine.
Life Sciences - Pharmacology - 07.03.2016

Almost every second woman suffers from a bladder infection at some point in her life. Also men are affected by cystitis, though less frequently.
Life Sciences - 07.03.2016
More Than Bugs: Spiders Also Like to Eat Vegetarian
Jumping spider Cosmophasis micarioides and golden-tailed spiny ants found in Queensland, Australia: Extra floral nectar attracts ants in large numbers which aggressively defend the nectaries. The spider first hast to break through these defenses to get access to the food. An approaching jumping spider usually first observes the ants from a distance and waits until they briefly leave, before rushing to the nectary (photo by Andrea Lim, James Cook University).
Environment - 29.02.2016
Invasive Water Frogs too Dominant for Native Species
Invasive species: The Eurasian Marsh Frog has been imported since the 1960 for human consumption and was released to nature. Christoph Buehler In the past two decades, water frogs have spread rapidly in Central Europe. Using a new statistical model, researchers from the University of Basel were now able to show that local species such as the Yellow-bellied Toad and the Common Midwife Toad are suffering from the more dominant water frogs.
History & Archeology - Social Sciences - 23.02.2016
"The information about the site is very limited, but we still have the ruins"
"Analysis of historical urban development broadens our perspective on how urban spaces are shaped and deployed.
Chemistry - Environment - 08.02.2016
Clean Energy From Water
Fuel cells generate electrical energy through a chemical reaction of hydrogen and oxygen. To obtain clean energy, the splitting of water into its components of hydrogen and oxygen is critical. Researchers at the University of Basel study how sunlight can be used for this purpose. The scientific journal Chemical published their latest results.
Pharmacology - Health - 04.02.2016

About thirty percent of all medical drugs such as beta-blockers or antidepressants interact with certain types of cell surface proteins called G protein coupled receptors. Researchers at the Biozentrum of the University of Basel, in collaboration with scientists from the Paul Scherrer Institute, have now elucidated in detail how the structure of such a receptor changes when drugs bind and how the structural change transmits a signal to the cellular interior.
Environment - Life Sciences - 28.01.2016
New Detection Method for Goby Invasion
Ponto-Caspian goby (Neogobius melanostomus) - a male in spawning coloration. Usually, the gobies are grey-brown (as demonstrated in the photo gallery further down). University of Basel Conventional methods of stock monitoring are unsuitable for certain fish species. For example, the infestation of an area with invasive Ponto-Caspian gobies cannot be identified in time by standard methods.
Social Sciences - Life Sciences - 21.01.2016
Neolithic Megalithic Tomb in Spain Comprehensively Examined for the First Time: a Community in Life and Death
People of the Neolithic age around 6,000 years ago were closely connected both in life and death. This became evident in a detailed archaeological and anthropological of a collective grave containing 50 bodies near Burgos, northern Spain. In the pioneering study, researchers used a whole array of modern methods to examine the way of life in the region at that time.
Social Sciences - 08.01.2016
Risk Taking Across Life Span: The Effects of Hardship
With increasing age, the propensity to take physical, social, legal or financial risks decreases. Researchers from the University of Basel and the Max Planck Institute for Human Development in Berlin were able to show how factors such as poverty and income equality play a role. Their study based on data from 77 countries has been published in the journal Psychological Science.
Life Sciences - 23.12.2015

The Thalamus not only relays visual signals from the eye to the visual cortex as previously thought, but also conveys additional, contextual information. Integrating these different signals is essential to understand and interpret what we see in the world around us. Prof. Sonja Hofer and her research team at the Biozentrum, University Basel, investigate how the brain processes visual stimuli and how contextual information shapes our visual perception.
Life Sciences - Health - 18.12.2015
Architecture of mTOR Protein Complex Solved
For a long time it has been known that the protein TOR - Target of Rapamycin - controls cell growth and is involved in the development of diseases such as cancer and diabetes. Researchers at the University of Basel's Biozentrum together with scientists from ETH Zurich have now examined the structure of mammalian TOR complex 1 (mTORC1) in more detail.
Health - Life Sciences - 10.12.2015

Basel Biologists hope to develop a new drug to combat bacterial biofilms in the lungs of patients suffering from cystic fibrosis. The Commission for Technology and Innovation (CTI) is funding the project "Therapeptix" at the Biozentrum of the University of Basel with 350,000 Swiss francs. Two more Biozentrum researchers are therefore heading towards professional independence and the establishment of a spin-off.
Health - Life Sciences - 04.12.2015
Signaling Pathway Suppresses Brain Tumors
Cross-section of a murine stem cell-derived brain tumor with histological features strikingly similar to human gliomas. (Image: University of Basel, Claudio Giachino/Verdon Taylor) Researchers at the University of Basel took a close look at a signaling pathway present in most organisms and found that it suppresses the formation of specific types of brain tumor.
Life Sciences - 02.12.2015

Mice that spent time running on wheels developed twice the normal number of new brain cells and increased their ability to distinguish new objects from familiar objects compared to inactive mice, reports a new study by researcher of the University of Basel. Exercise can result in the development of new brain cells in adult humans and animals - a process called adult neurogenesis.
Health - Pharmacology - 26.11.2015
Antibody-Drug Compounds and Immunotherapy to Treat Breast Cancer
To more efficiently treat breast cancer, scientists have been researching molecules that selectively bind to cancer cells and deliver a substance that can kill the tumor cells, for several years. Researchers from the University and University Hospital Basel have now for the first time successfully combined such an antibody-drug conjugate with a therapy that stimulates the immune system to attack tumor cells.
Health - Pharmacology - 23.11.2015

The BK polyomavirus often causes complications after kidney transplantation.
Physics - Materials Science - 17.11.2015

Scientists from the Swiss Nanoscience Institute and the Department of Physics at the University of Basel have demonstrated for the first time how electrons are transported from a superconductor through a quantum dot into a metal with normal conductivity. This transport process through a quantum dot had already been calculated theoretically in the nineties, but scientists at the University of Basel have now succeeded in proving the theory with measurements.
Physics - Electroengineering - 10.11.2015

Microwave field imaging is becoming increasingly important, as microwaves play an essential role in modern technology and can also be used in medical diagnostics. Researchers from the Swiss Nanoscience Institute and the Department of Physics at the University of Basel have now independently developed two new methods for imaging microwave fields.
Health - Life Sciences - 23.10.2015
Tuberculosis Bacteria Outsmart the Immune System
Tuberculosis bacteria employ an unusual strategy. They present themselves to the immune system in a constant shape.
Social Sciences - Economics - 19.10.2015
Who Travels by Train? Visions for the Future of Mobility on Four Continents
The international research project 'imagineTrains' studies perceptions, ideas, and problems that decision makers and passengers associate with rail as a mode of transport.
Social Sciences - Mar 26
"It would be naive to believe that a social media ban will solve all problems"
"It would be naive to believe that a social media ban will solve all problems"

Health - Mar 25
Cortical thickness, schizophrenia, and causality in psychiatry: when the trace is mistaken for the cause
Cortical thickness, schizophrenia, and causality in psychiatry: when the trace is mistaken for the cause









