Basel researchers succeed in cultivating cartilage from stem cells

- EN - DE
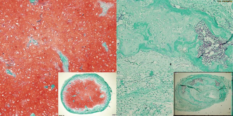
Development of cartilage tissue from mesenchymal stem/stromal cells after eight
Development of cartilage tissue from mesenchymal stem/stromal cells after eight weeks in vivo: Inhibition of the signaling pathway of the protein BMP leads to the maintenance of stable cartilage tissue, indicated by red staining (left). In contrast, the control group shows a development towards bone tissue (right). (Image: University of Basel, Department of Biomedicine)
Stable joint cartilage can be produced from adult stem cells originating from bone marrow. This is made possible by inducing specific molecular processes occurring during embryonic cartilage formation, as researchers from the University and University Hospital of Basel report in the scientific journal PNAS. Certain mesenchymal stem/stromal cells from the bone marrow of adults are considered extremely promising for skeletal tissue regeneration. These adult stem cells usually develop into cartilage tissue which later naturally remodels into bone tissue. Even if the stem cells are induced to differentiate into cartilage cells, they spontaneously mature into a so-called "hypertrophic" state, ultimately leading to the formation of bone tissue; this is similar to the cartilaginous tissue temporarily formed after a fracture. Inhibiting signaling pathways. Ivan Martin's research group at the Department of Biomedicine has now been able to demonstrate that by forcing certain molecular events occurring during the embryonic development of articular cartilage it is possible to generate stable cartilage tissue from adult human mesenchymal stem cells.
account creation

PER LEGGERE QUESTO ARTICOLO, CREA IL TUO ACCOUNT

Ed estendere la vostra lettura, gratuitamente e senza alcun impegno.



I vostri vantaggi

  • Accesso a tutti i contenuti
  • Ricevere newsmail per le novitą e le offerte di lavoro
  • Pubblicare annunci

myScience