Tabakrauchen verkalkt Arterien stärker als reiner Cannabis-Konsum

- EN- DE
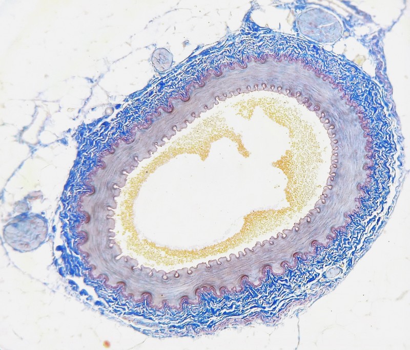
Querschnitt einer menschlichen Arterie mit Verkalkungen (gelb). © Wikimedia Comm
Querschnitt einer menschlichen Arterie mit Verkalkungen (gelb). © Wikimedia Commons
Langfristiger Cannabis-Konsum wurde wiederholt mit Ablagerungen in Herzarterien (Plaques) in Verbindung gebracht. Nun konnte in einer Langzeitstudie unter Leitung der Universität Bern nachgewiesen werden, dass nicht der Cannabis-Konsum an sich, sondern Tabakrauch der Hauptauslöser ist. Dass Tabakrauchen Plaques bildet und dadurch das Herzinfarktrisiko erhöht, ist bereits bekannt. Noch nicht untersucht worden war, ob Cannabis-Konsum dieselbe Wirkung hat. Eine Langzeitstudie über 25 Jahre unter der Leitung von Prof. Reto Auer vom Berner Institut für Hausarztmedizin (BIHAM) hat nun nachgewiesen, dass regelmässiger Cannabis-Konsum nur dann schädlich für die Herzarterien ist, wenn Cannabis zusammen mit Tabak konsumiert wird. 'Unsere Studie bestätigt die starke und konsistente Verbindung zwischen Tabakkonsum und der Bildung von Plaques', sagt Reto Auer. 'Cannabiskonsumentinnen und -konsumenten rauchen viel Tabak und erhöhen dadurch ihr Risiko für Herzinfarkte.' - Tabak für das Herz schädlicher als Cannabis .
account creation

PER LEGGERE QUESTO ARTICOLO, CREA IL TUO ACCOUNT

Ed estendere la vostra lettura, gratuitamente e senza alcun impegno.



I vostri vantaggi

  • Accesso a tutti i contenuti
  • Ricevere newsmail per le novità e le offerte di lavoro
  • Pubblicare annunci

myScience