actualités
Université de Genève
Résultats 241 - 260 de 711.
Sciences de la Terre - Environnement - 09.05.2022

Des scientifiques de l'Université de Genève révèlent un mécanisme surprenant de la formation des gisements de cuivre, un métal essentiel à la transition énergétique. Matériau essentiel à la conduction électrique, le cuivre est aujourd'hui l'un des métaux les plus utilisés de la planète. Les plus grandes ressources naturelles de ce métal sont les gisements dits 'porphyriques' issus de magmas provenant des profondeurs de la Terre.
Santé - Sciences de la vie - 25.04.2022

En développant un outil pour visualiser l'activation de protéines membranaires normales et oncogènes, des scientifiques de l'Université de Genève ouvrent la voie à des médicaments innovants. Les protéines membranaires périphériques ont la particularité de se lier temporairement aux membranes cellulaires, étape obligatoire pour qu'elles puissent ensuite remplir leur fonction biologique.
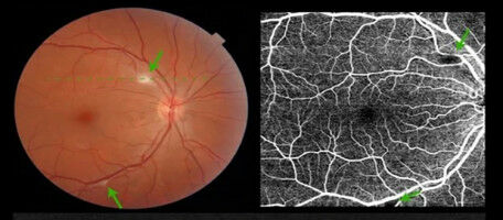
Santé - Pharmacologie - 25.04.2022

La liste des atteintes causées par une infection au SARS-CoV-2 s'allonge et inclut désormais la rétine. C'est ce qu'avance une étude prospective des HUG et de l'Université de Genève. La liste des atteintes causées par une infection au SARS-CoV-2 s'allonge et inclut désormais la rétine.
Sciences sociales - 25.04.2022
Mieux évaluer les besoins des personnes polyhandicapées
Une équipe de l'Université de Genève démontre que l'oculométrie permet d'évaluer les compétences perceptives des personnes en situation de polyhandicap. Un pas vers une prise en charge personnalisée. Plusieurs paires d'images et scènes ont été soumises à ces enfants afin d'évaluer six compétences visuelles différentes: mouvements biologiques ou non-biologiques, scènes socialement saillantes ou non-sociales, zone faciale des yeux ou bouche, joie ou colère, objets d'attention partagée ou non, comportements pro-sociaux ou anti-sociaux.
Physique - Chimie - 20.04.2022

Une équipe de l'Université de Genève est parvenue à visualiser la nucléation, l'étape qui précède la cristallisation et qui était invisible jusqu'à présent. À l'intersection de la chimie et de la physique, le processus de cristallisation est omniprésent dans la nature comme dans l'industrie. Il est à la base de la formation des flocons de neige mais aussi de certains principes actifs utilisés en pharmacologie.
Santé - Sciences de la vie - 19.04.2022
Cancer du sein: pourquoi les métastases gagnent les os
Une équipe pilotée par l'Université de Genève a découvert, pour le cancer du sein, un facteur qui explique la propagation des métastases vers les os. Image en 3D montrant l'invasion de cellules de cancer du sein (en vert) exprimant ZEB1 dans un tissu osseux de souris (en rouge). (c) Didier Picard Lorsque des cellules cancéreuses se détachent d'une tumeur primaire pour migrer vers d'autres organes, on parle de 'cancer métastatique'.
Sciences de la vie - Pharmacologie - 24.03.2022

Une équipe de l'Université de Genève et de l'EPFL a fait chez la souris une découverte contre-intuitive: les crises d'épilepsie sont plus violentes lorsque la voie de production d'énergie dans leurs neurones est bloquée. L'épilepsie, une des affections neurologiques les plus fréquentes, est caractérisée par la répétition spontanée de crises provoquées par l'hyperactivité d'un groupe de neurones dans le cerveau.
Physique - Informatique - 22.03.2022

Une équipe de l'Université de Genève est parvenue à stocker un bit quantique durant 20 millisecondes, une durée encore jamais atteinte par une mémoire quantique solide. Ordinateurs, smartphones, GPS: la physique quantique a permis de nombreuses avancées technologiques. Elle ouvre aujourd'hui de nouveaux champs de recherche dans le domaine de la cryptographie (l'art de coder des messages) dans le but de développer des réseaux de télécommunication ultrasécurisés.
Sciences de la vie - Santé - 17.03.2022

Une équipe de l'Université de Genève a identifié un gène dont la surexpression empêche le développement de la maladie de Parkinson chez la mouche du vinaigre et la souris. Les biologistes ont créé des mutants de l'homologue de Fer2 dans les neurones à dopamine de souris. (c) Adobe Stock La maladie de Parkinson est une maladie neurodégénérative caractérisée par la destruction d'une population spécifique de neurones : les neurones à dopamine.
Santé - Campus - 15.03.2022

Une étude des HUG et de l'Université de Genève confirme que ce syndrome est largement dû à l'infection par le SARS-CoV-2 et dans une moindre mesure au contexte pandémique.
Santé - Pharmacologie - 09.03.2022

Une équipe de l'Université de Genève a identifié une cible potentielle pour restaurer l'efficacité du traitement standard du cancer du sein chez les patientes résistantes. De nombreuses patientes atteintes de cancer du sein développent des résistances au traitement standard médicamenteux visant à empêcher la croissance des cellules cancéreuses.
Santé - Sciences de la vie - 08.03.2022

Une équipe de l'Université de Genève a découvert que l'expérience de mort imminente cellulaire, au sein d'une tumeur primaire, favorise l'apparition de cellules «pro-métastatiques». Les cellules métastatiques se forment dans une tumeur primaire pour ensuite s'en détacher, migrer vers d'autres organes, s'y fixer et engendrer de nouvelles tumeurs.
Sciences de la vie - Physique - 07.03.2022

Des scientifiques de l'Université de Genève créent un modèle expliquant comment les protéines se répartissent de façon inégale dans les cellules. Un processus essentiel pour le développement des êtres vivants. Chacune de nos cellules contient environ 40 millions de protéines qui accomplissent ensemble toutes les tâches nécessaires à sa survie.
Sciences de la vie - Santé - 03.03.2022

Des scientifiques de l'Université de Genève démontrent que des perturbations entre les aires cérébrales sont liées à la survenue de la schizophrénie. La communication entre les aires cérébrales est cruciale pour permettre au cerveau de traiter les signaux sensoriels et d'adopter une réponse comportementale appropriée.
Sciences de la vie - Santé - 01.03.2022

Un consortium européen coordonné par l'UNIGE décrypte comment une mutation de la protéine APOE modifie le transport des lipides et contribuerait à l'apparition de la maladie. Dans le cerveau, les neurones coexistent avec de nombreux autres types de cellules dont ils dépendent pour fonctionner correctement.
Santé - Pharmacologie - 23.02.2022

Une étude menée par l'Université de Genève et les HUG suggère que la vaccination agit contre les séquelles post-COVID, en plus de protéger contre les infections et les complications aiguës. Une étude menée par l'Université de Genève (UNIGE) et les Hôpitaux universitaires de Genève (HUG) montre qu'après la vaccination contre le SARS-CoV-2, les symptômes du syndrome post-COVID (aussi appelé COVID-long) disparaissent ou s'améliorent dans 35 % des cas.
Santé - Pharmacologie - 17.02.2022

Une équipe franco-suisse incluant des scientifiques de l'Université de Genève a découvert comment déclencher l'apoptose des cellules leucémiques en perturbant leur mécanisme de maintien énergétique. Les leucémies aiguës myéloïdes, qui affectent les cellules du sang et de la moelle osseuse, font partie des formes de cancer les plus mortelles.
Environnement - Science des matériaux - 11.02.2022

Une équipe de l'Université de Genève et de l'Empa démontre qu'un mix photovoltaïque-éolien est optimal pour réduire l'empreinte carbone de la consommation électrique suisse. Comment réduire l'empreinte carbone liée à la consommation d'électricité en Suisse? Pour répondre à ses besoins, notre pays s'appuie en effet sur des importations provenant de centrales à énergies fossiles, grosses émettrices de gaz à effet de serre (GES).
Astronomie & Espace - 10.02.2022

Grâce au spectrographe développé à l'Université de Genève, une équipe internationale a découvert une exoplanète ultra-légère, en orbite autour de notre plus proche voisine. Une équipe internationale incluant des chercheurs/euses de l'Université de Genève (UNIGE) a détecté une troisième planète candidate autour de notre plus proche voisine, l'étoile Proxima du Centaure.
Physique - Sciences de la vie - 10.02.2022

Une équipe de l'Université de Genève démontre que les cellules s'auto-organisent pour générer les forces modelant les formes de nos tissus. Comment les différentes formes de nos organes et tissus cellulaires sont-elles générées? Pour répondre à cette question, une équipe de l'Université de Genève (UNIGE) a contraint des cellules musculaires à reproduire spontanément des formes simples in vitro .










