wire - news in kürze
Universität Bern
Ergebnisse 601 - 650 von 938.
Astronomie & Weltraum - 30.09.2016
Rosettas fulminantes Ende
Ihre Mission ist vorbei: Nach dem letzten Signal um 13:20 Uhr stürzte die Sonde kontrolliert auf den Kometen Churyumov-Gerasimenko ab.
Verwaltung - Pädagogik - 15.09.2016
Neue Leitung, künftige Chancen und Herausforderungen
Agronomie & Lebensmittelingenieur - Gesundheit - 09.09.2016

Dank noch nie gesehenen Röntgenbildern von Honigbienenwaben konnte ein Forschungsteam von Agroscope und dem Institut für Bienengesundheit der Universität Bern beobachten, wie Honig produziert wird. Das Team konnte mittels Computertomographie die Zuckerkonzentration in den Wachszellen messen, ohne die sensitiven Mechanismen des Bienenvolkes zu stören.
Karriere - 30.08.2016
Wer die Familie bei der Karriereplanung berücksichtigt, lebt zufriedener
Viele Personen berücksichtigen bei ihrer Karriereplanung ausserberufliche Bereiche wie Familie, persönliche Interessen und gesellschaftliches Engagement. Wie Berner Forschende des Instituts für Psychologie herausgefunden haben, berichten Personen mit einer stärkeren Berücksichtigung der Familienrolle bei der Karriereplanung über eine grössere Zufriedenheit mit ihrer Karriere und ihrem Leben allgemein.
Umwelt - Biowissenschaften - 17.08.2016

Je mehr es wimmelt, kreucht und fleucht desto besser für den Menschen, der von den vielfältigen, kostenlos erbrachten Dienstleistungen der Natur profitiert.
Geschichte & Archeologie - Veranstaltung - 15.08.2016
Bümpliz ist älter als Bern: Eine Zeitreise über 2000 Jahre
Verwaltung - Gesundheit - 11.07.2016

Gesundheit - Verwaltung - 01.07.2016
Stärkung von Bern als führenden Medizinalstandort: 100 zusätzliche Studienplätze in der Humanmedizin
Linguistik & Literatur - Musik - 30.06.2016

Die «Friedrich Dürrenmatt Gastprofessur für Weltliteratur» an der Universität Bern übernimmt im Herbstsemester 2016 der frankophone Schriftsteller Wilfried N'Sondé.
Gesundheit - Verwaltung - 29.06.2016
Neuer Verwaltungsrat für die Insel Gruppe AG
Agronomie & Lebensmittelingenieur - Biowissenschaften - 09.06.2016

Völker der Östlichen Honigbiene überleben einen Befall mit der parasitären Varroamilbe, der für Völker der Westlichen Honigbiene tödlich endet. Ein internationales Forschungsteam von Agroscope, dem Institut für Bienengesundheit der Universität Bern hat zusammen mit Partnern aus China und Thailand entdeckt, dass ein Grossteil der befallenen Larven der Östlichen Honigbiene stirbt, worauf die Kolonie die abgestorbenen Larven entfernt - zusammen mit ihren Parasiten.
Gesundheit - Pharmakologie - 30.05.2016

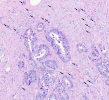
Das Auftreten spezieller invasiver Krebszellen kann eine genauere Prognose bei Darmkrebserkrankungen ermöglichen.
Biowissenschaften - Gesundheit - 11.05.2016

Die Schlafphase, in der wir träumen, spielt eine wichtige Rolle für das Gedächtnis. Warum das so ist, war bislang unklar. Zum ersten Mal konnte eine internationale Forschergruppe mit Berner Beteiligung einen kausalen Zusammenhang zwischen dieser Schlafphase und der räumlichen Erinnerung nachweisen. Wenn unser Gehirn neue Informationen erhält, werden diese auf verschiedene Arten gespeichert - zum Beispiel als räumliche Erinnerung - und später wieder abgerufen, etwa für die räumliche Orientierung in einer Stadt.
Biowissenschaften - Gesundheit - 22.04.2016
Fünf Forschende der Universität Bern erhalten 10 Millionen EU-Gelder
Umwelt - Innovation - 18.04.2016

Das Swiss Polar Institute wird sich mit der Erforschung der Pole und extremer Umgebungen befassen. Sein erstes Projekt ist ehrgeizig: eine internationale wissenschaftliche Expedition rund um Antarktika, bei der 55 Forscher aus 30 Ländern an 22 Forschungsprojekten zusammenarbeiten.
Gesundheit - Biowissenschaften - 10.04.2016
Adrian Ochsenbein und Markus Manz werden mit dem Otto Naegeli-Preis 2016 ausgezeichnet
Astronomie & Weltraum - 29.03.2016

Kinder in der Schweiz und überall in Europa zeichneten Tausende von fantasievollen Bildern mit Planeten, Raketen und Ausserirdischen.
Gesundheit - 18.03.2016
Universität Bern erhält Stiftungsprofessur für Präventivzahnmedizin
Gesundheit - Umwelt - 02.03.2016
13 neue Förderungsprofessuren an der Universität Bern
Kunst & Design - 11.02.2016

Die «Friedrich Dürrenmatt Gastprofessur für Weltliteratur» an der Universität Bern übernimmt im Frühjahrssemester 2016 Fernando Pérez - der bedeutendste zeitgenössische kubanische Filmautor und Filmemacher.
Umwelt - Politik - 08.02.2016
Der menschgemachte Klimawandel wird noch viele Generationen nach uns beschäftigen
Die heutigen Treibhausgasemissionen verursachen einen Klimawandel, der Jahrtausende andauern kann - so das Fazit einer internationalen Studie mit Beteiligung unter anderem der Universitäten Oregon, Harvard, MIT, Oxford und Bern.
Umwelt - Geschichte & Archeologie - 08.02.2016
Alte Baume offenbaren «Spatantike Kleine Eiszeit» vor rund 1500 Jahren
Jahrringmessungen decken eine drastische Kalteperiode in Eurasien zwischen 536 und etwa 660 nach Christus auf. Sie uberlagert sich zeitlich mit der Justinianischen Pest sowie mit politischen Umwalzungen und Volkerwanderungen sowohl in Europa als auch in Asien. Dies berichtet ein interdisziplinares Team unter Leitung der Eidgenossischen Forschungsanstalt WSL und dem Oeschger-Zentrum der Universitat Bern im Fachjournal «Nature Geoscience».
Gesundheit - Recht - 02.02.2016

Der Regierungsrat des Kantons Bern empfiehlt den Stimmberechtigten ein Ja zum Ausführungskredit für den Laborneubau der Universität an der Murtenstrasse in Bern. Mit dem Neubau werden die dringend benötigten Räumlichkeiten für die Rechtsmedizin und die medizinische Forschung bereitgestellt. Eine zeitgemässe Infrastruktur ist für den Rechtsstaat und den Medizinstandort Bern von grosser Bedeutung.
Gesundheit - 29.01.2016

Gesundheit - Verwaltung - 26.01.2016

Umwelt - 20.01.2016

Das «Paris-Abkommen» der UN-Klimakonferenz wird zwar als historisch bezeichnet, aber der Erfolg hängt von einer raschen Umsetzung ab. Was ein Hinauszögern von CO2-Reduktionen für das Klima und die Ozeane zur Folge hätte, haben nun Berner Klimaphysiker berechnet. Im Dezember 2015 wurde an der UN-Klimakonferenz COP 21 ein umfassendes Abkommen zum Klimaschutz verabschiedet.
Linguistik & Literatur - Informatik - 11.01.2016

Sie wurde in der Deutschschweiz über 88'000 mal heruntergeladen und führte zu weiteren Spracherkennungs-Apps: die «Dialäkt App», die den Dialekt des Benutzers verortet. Nun gibt es sie auch für Engländer. Sie heisst «English Dialects» und wurde von den Universitäten Bern, Zürich und Cambridge gemeinsam entwickelt.
Biowissenschaften - Gesundheit - 06.01.2016

Wenn ein bestimmtes Protein im Kleinhirn fehlt, führt dies dort zur Degeneration der wichtigsten Zellen und zu unheilbaren Hirnerkrankungen. Zellbiologen der Universität Bern haben nun einen Mechanismus entdeckt, der neue Wege zur Behandlung von neurodegenerativen Krankheiten im Kleinhirn eröffnet. Wenn Nervenzellen im Kleinhirn beschädigt sind - etwa nach einem Unfall oder Schlaganfall - fällt unsere Muskelkoordination aus.
Biowissenschaften - 05.01.2016

Der Löwenzahn gilt vielen als ein lästiges Unkraut. Neben Hobby-Gärtnern hat die Pflanze auch in der Natur viele Feinde. Vor diesen schützt sie sich mit einem latexhaltigen Saft. Wissenschaftler des Max-Planck-Instituts für chemische Ökologie in Jena und der Universität Bern konnten jetzt nachweisen, dass eine einzige Substanz aus dem bitteren Latexsaft die Wurzeln des Löwenzahns gegen gefrässige Maikäferlarven wirksam schützt.
Gesundheit - Pharmakologie - 04.12.2015
«Freiheit ist unverzichtbar für die akademische Unternehmung»
Am 181. Dies academicus der Universität Bern betonte Rektor Martin Täuber die Autonomie der Universität als Grundlage für ihren Erfolg und die Wichtigkeit der internationalen Vernet-zung.
Gesundheit - 26.11.2015
ARTORG und Inselspital entwickeln künstliches Pankreas
Künstliche Bauchspeicheldrüsen können bislang unterschiedliche Nahrungsmengen und Bewegungsraster im Tagesablauf von Diabetes-Patienten nicht kompensieren.
Gesundheit - Pharmakologie - 05.11.2015

Der diesjährige Johanna Dürmüller-Bol DKF Forschungspreis des Departements Klinische Forschung DKF der Universität Bern geht an Federica Moalli.
Gesundheit - 03.11.2015
Erhöhtes Krebsrisiko bei Kindern, die neben Autobahnen wohnen
Kinder, die in der Nähe von Autobahnen oder Autostrassen wohnen, haben wahrscheinlich wegen krebserregender Stoffe in den Abgasen ein erhöhtes Risiko, an Leukämie zu erkranken. Berner Sozialund Präventivmediziner fanden einen Zusammenhang zwischen dem Wohnort und den von 1985 bis 2008 in der Schweiz registrierten Krebserkrankungen bei Kindern.
Physik - 03.11.2015

Berner Technologie ist vorne mit dabei auf der Suche nach neuen Elementarteilchen. Das internationale Neutrino-Grossprojekt «MicroBooNE» in den USA mit Berner Beteiligung ist erfolgreich gestartet.
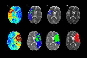
Gesundheit - Biowissenschaften - 28.10.2015

Die in Bern entwickelte Software FASTER kann innert Minuten erfassen, welche Hirnareale nach einem Schlaganfall langfristig geschädigt bleiben.
Gesundheit - Physik - 21.10.2015
Naturliche Hintergrundstrahlung erhöht das Risiko fur Kinderkrebs
Regionale Unterschiede der natürlichen Hintergrundstrahlung aus dem Boden und dem Weltall können das Krebsrisiko bei Kindern erhöhen.
Physik - 20.10.2015

Dunkle Materie wurde bislang noch nie direkt gemessen. Auch die internationale XENON-Kollaboration, an der Forschende der Universitäten Bern und Zürich beteiligt sind, fand bisher keinen Hinweis darauf. Ihre Ergebnisse erlauben es aber, eine seit Jahren schwelende wissenschaftliche Kontroverse aufzulösen.
Astronomie & Weltraum - 19.10.2015

Am Wochenende vom 20. bis 22. März 2015 findet eine partielle Sonnenfinsternis und der «Tag der Astronomie» statt - und eine gross angelegte Zeichenaktion für Kinder von 8 bis 14 Jahren.
Gesundheit - Biowissenschaften - 19.10.2015
Analyse von Antikörpern zeigt: bessere Impfstoffe und Tumordiagnosen sind möglich
Ein Team von internationalen Wissenschaftlern unter Führung der Universität Bern hat zuckerspezifische Antikörper des Menschen erforscht. Die daraus gewonnenen Erkenntnisse können insbesondere für die Tumordiagnostik genutzt werden sowie zur Behandlung und Prävention von Infektionen. Angeführt von Stephan von Gunten vom Institut für Pharmakologie der Universität Bern analysierten Wissenschaftler die Antikörper von mehreren tausend gesunden Spendern.
Gesundheit - Pharmakologie - 19.10.2015
Berner leiten «Horizon 2020»-Forschungsprojekt der EU zu Medikamenten-Überkonsum
Umwelt - 19.10.2015

Schweizer Forschende lancieren am 1. März 2015 - rechtzeitig zu Beginn des klimatologischen Frühlings - die Citizen Science-Plattform «OpenNature.ch».
Biowissenschaften - Pharmakologie - 16.10.2015
Wie sich das Hirn an Schmerzen «erinnert»
Berner Forschende haben einen Mechanismus entdeckt, der für die Chronifizierung von Schmerzen im Gehirn verantwortlich ist. Die Resultate der Studie zeigen neue Möglichkeiten auf, wie in Zukunft chronische Schmerzen medikamentös behandelt werden könnten. Chronische Schmerzen sind ein weit verbreitetes Krankheitsbild, an dem alleine in der Schweiz über eine Million Menschen leiden.
Astronomie & Weltraum - Chemie - 16.10.2015

Die Kometensonde Rosetta der Europäischen Weltraum Agentur ESA hat zum ersten Mal Stickstoffgas in der Umgebung eines Kometen gemessen. Die daraus gewonnenen Erkenntnisse liefern wichtige Schlüsse zur Entstehung unseres Sonnensystems. Die Ergebnisse der Studie unter der Leitung von Forschenden der Universität Bern sind nun im Fachjournal «Science» publiziert worden.
Gesundheit - Pharmakologie - 15.10.2015

Die radioaktive Tumordiagnose verfeinern und verbessern: Diesem Ziel dient ein fünftägiges internationales Expertentreffen in Bern.
Agronomie & Lebensmittelingenieur - Biowissenschaften - 15.10.2015

Pflanzen, die ihren Nektar mit Koffein versetzen, können Bienen dazu bringen, mehr Artgenossinnen zu sich zu locken. Zu diesem Schluss kommt ein internationales Team von Biologinnen und Biologen um Margaret Jane Couvillon von der Universität Sussex und den Berner Forscher Roger Schürch. Für viele ist der beste Start in den Tag eine frische Tasse Kaffee.
Umwelt - 06.10.2015

Der Berner Klimaforscher Thomas Stocker gehörte zur engsten Auswahl für die Besetzung des IPCC-Vorsitzenden.
Astronomie & Weltraum - Umwelt - 25.09.2015

Das Berner Massenspektrometer ROSINA auf der Raumsonde Rosetta hat erstmals das Edelgas Argon in der Kometenhülle von «Chury» entdeckt. Die Messung stützt die These, wonach das Wasser auf der Erde nicht von Kometen stammt. Kometen werden als Abkömmlinge von Planeten-Vorläufern, sogenannten Planetesimalen, betrachtet, die in der Frühphase des Sonnensystems einen Grossteil der flüchtigen Bestandteile zu den Planeten beigesteuert haben könnten - auch hier auf der Erde.
Gesundheit - 22.09.2015

Entzündliche Darmerkrankungen und den Reizdarm heilen: Ein Forschungsteam unter Berner Führung untersucht dazu seit Jahren die Bakterien im Darm minutiös. Die jüngste Forschungsarbeit ist soeben in der renommierten Fachzeitschrift «Nature » veröffentlicht worden. Im Darm des Menschen leben zehnmal mehr Mikroben als der Mensch Körperzellen hat.
Veranstaltung - Politik - 16.09.2015

Deutschlands Bundeskanzlerin Angela Merkel hat an der Universität Bern ihren Ehrendoktortitel in Empfang genommen, den Senat und Universitätsleitung ihr im Jahr 2009 verliehen haben.
Pharmakologie - Gesundheit - 14.09.2015
Neue Therapie reduziert Blutungsrisiko bei Herzkatheter-Patienten
Laut einer soeben im renommierten New England Journal of Medicine publizierten Studie reduziert ein neuer Blutgerinnungshemmer das Blutungsrisiko bei Herzkatheter-Patienten deutlich. An der Studie waren auch das Inselspital und die Universität Bern beteiligt. In der MATRIX-Studie, welche soeben im New England Journal of Medicine publiziert worden ist, wurden 7213 Patienten aus 78 Zentren in 4 europäischen Ländern untersucht.
Sozialwissenschaften - 26.3
«Es wäre naiv zu glauben, dass ein Social-Media-Verbot alle Probleme löst»
«Es wäre naiv zu glauben, dass ein Social-Media-Verbot alle Probleme löst»











