wire - news in kürze
Universität Basel
Ergebnisse 301 - 350 von 610.
Biowissenschaften - Chemie - 02.03.2016
System zum Entfernen von Erbgutmarkierungen im Labor nachgebaut
Markierungen im Erbgut sorgen dafür, dass jeweils die richtigen Gene abgelesen werden. Forschende vom Departement Biomedizin der Universität Basel haben nun erstmals im Reagenzglas den Mechanismus nachgebildet, mit dem Markierungen von der DNA entfernt werden können. Dies berichten sie im Fachmagazin «Nature ».
Umwelt - 29.02.2016
Invasive Wasserfrösche zu dominant für einheimische Arten
Invasive Art: Der Seefrosch wurde seit den 1960er Jahren für den menschlichen Verzehr nach Mitteleuropa importiert und gelangte dann in die Freiheit.
Geschichte & Archeologie - 25.02.2016
3D-Animation rekonstruiert Basler Ausgrabungen in Süditalien
Im süditalienischen Francavilla Marittima erforschen Basler Archäologen einen antiken Friedhof aus dem 8.Jahrhundert v. Chr.
Geschichte & Archeologie - Sozialwissenschaften - 23.02.2016
«Die Daten sind beschränkt, doch die Ruinen sind noch da»
«Die Auseinandersetzung mit historischer Stadtentwicklung erweitert unsere Perspektive darauf, wie heute urbaner Raum gestaltet und genutzt wird.
Geschichte & Archeologie - 22.02.2016
Digital edition - Rechnungsbücher der Stadt Basel 1535-1610 online veröffentlicht
Archivarbeit für die Zukunf: Jonas Sagelsdorff, Prof. Susanna Burghartz, Sonia Calvi und Lukas Meili machen historische Dokumente der Basler Finanzverwaltung digital zugänglich.
Chemie - Umwelt - 08.02.2016
Saubere Energie aus Brennstoffzellen
Brennstoffzellen erzeugen elektrischen Strom aus der chemischen Reaktion von Wasserstoff und Sauerstoff. Um saubere Energie zu erhalten, ist es entscheidend, mit welcher Methode Wasser vorher in seine Bestandteile Wasserstoff und Sauerstoff aufgetrennt wird. Forschende der Universität Basel untersuchen, wie sich Sonnenlicht zu diesem Zweck einsetzen lässt.
Pharmakologie - Biowissenschaften - 04.02.2016

Etwa dreissig Prozent aller Medikamente wie zum Beispiel Betablocker oder Antidepressiva wirken über bestimmte Membranproteine, sogenannte G-Protein-gekoppelte-Rezeptoren. Wissenschaftler vom Biozentrum der Universität Basel haben nun zusammen mit Forschern des Paul-Scherrer-Instituts im Detail aufgeklärt, wie sich die Struktur eines solchen Rezeptors bei der Bindung von Wirkstoffen verändert und so die Signalübertragung ins Zellinnere steuert.
Gesundheit - Karriere - 03.02.2016
Alters- und Pflegeheime: Gesundes Arbeitsklima, bessere Pflege
Die Pflegequalität in Altersund Pflegeheimen ist deutlich höher, wenn das Personal über genug Ressourcen verfügt, im Teamwork arbeitet und weniger dem Stress ausgesetzt ist.
Biowissenschaften - Umwelt - 28.01.2016
Neuer Test für Grundel-Invasion
Schwarzmeergrundel (Neogobius melanostomus) - die schwarze Färbung rührt daher, dass es sich um ein laichbereites Männchen handelt; ansonsten sind die Fische eher graubraun (siehe Fotostrecke unten). Universität Basel Herkömmliche Methoden der Bestandsüberwachung sind für manche Fischarten nicht geeignet.
Biowissenschaften - 28.01.2016

Fehler in der Bildung von Nervenzellen können zu neuronalen Entwicklungsstörungen wie beispielsweise Mikrozephalie, Kleinwuchs des Gehirns, führen. Das Team von Prof. Clemens Cabernard vom Biozentrum der Universität Basel hat nun ein Protein untersucht, das an der Entstehung der Mikrozephalie beteiligt ist.
Sozialwissenschaften - Gesundheit - 21.01.2016
Neolithisches Grossgrab in Spanien erstmals umfassend ausgewertet: Im Leben und im Tod vereint
Die Menschen der Jungsteinzeit vor rund 6000 Jahren waren im Leben und Tod eng miteinander verbunden. Darauf weist eine detaillierte anthropologische Studie eines Kollektivgrabs mit rund 50 Toten bei Burgos in Nordspanien hin, welche die Lebensweise des Orts erstmals mit modernen Methoden untersuchte.
Gesundheit - Wirtschaft - 08.01.2016
Risikobereitschaft im Alter: Wie sich Elend und Not auswirken
Mit dem Alter nimmt die Bereitschaft ab, ein körperliches, soziales, rechtliches oder finanzielles Risiko einzugehen. Dass dabei Faktoren wie Armut oder Einkommensungleichheit eine Rolle spielen, zeigen Wissenschaftler der Universität Basel und des Max-Planck-Instituts für Bildungsforschung in Berlin.
Biowissenschaften - 23.12.2015

Das Zwischenhirn leitet nicht nur - wie bislang angenommen - optische Reize an das Grosshirn weiter, sondern sendet auch Zusatzinformationen. Diese sind essenziell, um das Gesehene richtig einordnen und angemessen reagieren zu können. Prof. Sonja Hofer und ihr Forschungsteam am Biozentrum der Universität Basel erforschen die Verarbeitung von Sehreizen im Gehirn und wie Kontextinformationen übermittelt werden.
Gesundheit - Pharmakologie - 22.12.2015

Mit innovativen Verfahren, die am Universitätsspital Basel entwickelt wurden, sollen sich Verletzungen von Gelenkknorpeln besser behandeln lassen.
Biowissenschaften - Gesundheit - 18.12.2015
Architektur von mTOR-Proteinkomplex offengelegt
Seit langem ist das Protein TOR - Target of Rapamycin - dafür bekannt, dass es das Wachstum von Zellen steuert und an der Entstehung von Krankheiten wie Krebs und Diabetes beteiligt ist. Forscher vom Biozentrum der Universität Basel haben nun gemeinsam mit Kollegen der ETH Zürich die Struktur des TOR-Komplexes mTORC1 detailreich aufgeklärt.
Biowissenschaften - Gesundheit - 10.12.2015

Basler Biologen möchten einen neuen Wirkstoff entwickeln, mit dem sich bakterielle Biofilme in der Lunge von Patienten mit Mukoviszidose bekämpfen lassen.
Umwelt - 08.12.2015
Kleinste Plastikteilchen: Der Rhein gehört weltweit zu den am stärksten belasteten Strömen
Probe aus dem Rhein bei Duisburg mit über 65% opaken Mikroplastikkügelchen in 15-facher Vergrösserung; der Durchmesser der Kügelchen beträgt 0,4-0,9 Millimeter. (Foto: Universität Basel, Thomas Mani) Im Rhein zwischen Basel und Rotterdam finden sich mit die höchsten Konzentrationen von kleinsten Plastikteilen, die bisher in Meereszuflüssen gemessen wurden - am meisten im Ruhrgebiet mit bis zum Vierfachen des Durchschnitts.
Gesundheit - Biowissenschaften - 04.12.2015
Signalweg hemmt Entwicklung von Hirntumoren
Querschnitt eines durch Stammzellen entstandenen Mäusegehirntumors: die histologischen Merkmale des Tumors ähneln auffallend einem menschlichen Gehirntumor. (Bild: Universität Basel, Claudio Giachino/Verdon Taylor) Biomediziner der Universität Basel haben sich einen weitverbreiteten Signalweg genauer angesehen und festgestellt, dass er die Entwicklung gewisser Hirntumorarten unterdrückt.
Biowissenschaften - 02.12.2015

Mäuse, die sich in Laufrädern bewegen, entwickeln doppelt so viele neue Nervenzellen wie inaktive Tiere. Zudem sind sie besser dazu fähig, neue von bekannten Objekten zu unterscheiden. Dies zeigt eine Studie von Wissenschaftlern der Universität Basel, die in der aktuellen Ausgabe der Fachzeitschrift «Brain Plasticity» erschienen ist.
Gesundheit - Biowissenschaften - 26.11.2015
Mit Antikörper-Wirkstoff-Verbindungen und Immuntherapie gegen Brustkrebs
Zur Behandlung von Brustkrebs werden seit einigen Jahren Moleküle erforscht, die gezielt an Krebszellen binden und eine Substanz einschleusen, welche die Tumorzelle absterben lässt. Forscher von Universität und Universitätsspital Basel haben nun erstmals ein solches Antikörper-Wirkstoff-Konjugat erfolgreich mit einer Therapie kombiniert, welche die Bekämpfung von Tumorzellen durch das Immunsystem stimuliert.
Gesundheit - Pharmakologie - 23.11.2015

Nach Nierentransplantationen kommt es immer wieder zu Komplikationen durch BK-Viren. Die Forschungsgruppe von Prof. Hans H. Hirsch am Departement Biomedizin der Universität Basel konnten nun zeigen, dass das immunsuppressive Medikament Tacrolimus direkt die Vermehrung des Virus aktiviert und so für die Komplikationen verantwortlich sein könnte.
Physik - 17.11.2015

Wissenschaftler des Swiss Nanoscience Institute und des Departements Physik der Universität Basel haben erstmals nachgewiesen, wie Elektronen von einem Supraleiter durch einen Quantenpunkt in ein normalleitendes Metall transportiert werden. Dieser Transportprozess durch einen Quantenpunkt wurde bereits in den Neunzigerjahren theoretisch berechnet, doch erst jetzt ist es den Wissenschaftlern der Universität Basel gelungen, die Theorie mit Messungen zu belegen.
Sozialwissenschaften - Wirtschaft - 12.11.2015

Ueli Mäder, Soziologe an der Universität Basel, untersucht in seiner neuen Studie die Machtgefüge in der Schweiz.
Gesundheit - Biowissenschaften - 23.10.2015
Tuberkulose-Bakterien tricksen Immunsystem aus
Die Erforschung besonders ansteckender Keime wie etwa Tuberkulose-Bakterien erfolgt am Swiss TPH im Hochsicherheitslabor. (Image: Swiss TPH, Thomas Schuppisser) Tuberkulose-Bakterien bedienen sich eines eigensinnigen Tricks. Sie zeigen sich dem Immunsystem immer in derselben Gestalt. Ihre Antigenvariation ist äusserst gering.
Sozialwissenschaften - Wirtschaft - 19.10.2015
Wer reist mit dem Zuge? Zukunftsvisionen von Mobilität auf vier Kontinenten
Das internationale Forschungsprojekt «imagineTrains» untersucht Vorstellungen, Wünsche und Probleme, mit denen Entscheidungsträger und Passagiere das Verkehrsmittel Bahn verbinden.
Biowissenschaften - Physik - 14.10.2015

Unser angeborenes Immunsystem beseitigt innerhalb kürzester Zeit eindringende Krankheitserreger. Sobald ein Erreger im Körper entdeckt wird, setzt ein Proteinkomplex, das Inflammasom, die Abwehrreaktion in den Immunzellen in Gang.
Biowissenschaften - Chemie - 09.10.2015

Forschern der Universität Basel ist es gelungen, Proteinschleusen für künstliche Nanobläschen zu konstruieren, die nur unter bestimmten Bedingungen durchlässig werden - sie öffnen sich bei einem sauren pH-Wert.
Wirtschaft - Biowissenschaften - 01.10.2015

Forscher der Universität Basel haben einen Zusammenhang zwischen dem internationalen Handel von Haifischflossen und der drohenden Ausrottung von sich langsam vermehrenden Haifischarten nachgewiesen.
Biowissenschaften - Agronomie & Lebensmittelingenieur - 23.09.2015
Wolf im Schafspelz: Schuppenfressende Buntbarsche tricksen ihre Beute aus
Der Tanganjika-Schuppenfresser (Plecodus straeleni) ernährt sich ausschliesslich von den Schuppen anderer Fische. (Bild: Universität Basel, Zoologie) Das Vortäuschen falscher Tatsachen zählt zu den ausgeklügeltsten Überlebensstrategien im Tierreich. Zoologen der Universität Basel konnten nun einen ganz besonderen Fall solcher Trickserei bei einem afrikanischen Buntbarsch aufzeigen, der sich auf das Fressen von Schuppen anderer Fische spezialisiert hat.
Umwelt - 22.09.2015

Am Beispiel einer Schmetterlingsart konnten Forscher vom Departement Umweltwissenschaften der Universität Basel zeigen, wie Insekten ihre Nachkommen an sich ändernde Umweltbedingungen anpassen. Der im Journal «Ecology» publizierte Artikel zeigt, dass Weibchen ihrer Brut die eigene Erfahrung vermitteln, auch wenn diese nicht unbedingt ideal war.
Gesundheit - Pädagogik - 14.09.2015
Sport verbessert körperliche Fähigkeiten und Schlaf bei autistischen Kindern
Kinder mit Autismus-Störungen können durch körperliche Aktivitäten ihren Schlaf und ihre physischen Fertigkeiten verbessern - und das schon bei drei Stunden Training pro Woche.
Physik - 08.09.2015

Physiker der Universität Basel haben mithilfe eines Halbleiter-Quantenpunktes eine neuartige Lichtquelle entwickelt, die einzelne Photonen aussendet. Erstmals ist es den Forschern gelungen, einen Strom identischer Photonen zu erzeugen. Dies berichten sie zusammen mit Kollegen der Universität Bochum in der Fachzeitschrift «Nature ».
Gesundheit - Psychologie - 02.09.2015

Gene sind sowohl für die normale Gedächtnisleistung, als auch für die Entstehung der Alzheimer-Krankheit entscheidend. Wissenschaftler der Universität Basel haben nun nachgewiesen, dass eine bestimmte Gen-Gruppe an beiden Vorgängen zentral beteiligt ist. Es handelt sich dabei um Moleküle, welche die Konzentration der Kalzium-Ionen in Zellen steuern.
Physik - Chemie - 27.08.2015

Physikern der Universität Basel ist es gelungen, mit Bor-Atomen dotierte Graphen-Nanobänder herzustellen und ihre elektronischen und chemischen Eigenschaften zu beschreiben.
Biowissenschaften - Gesundheit - 20.08.2015

Bakterien verblüffen uns mit ihren Überlebensstrategien immer wieder aufs Neue. Wissenschaftler am Biozentrum der Universität Basel haben nun herausgefunden, wie Bakterien sich mithilfe eines sogenannten FIC-Toxins in einen Schlafzustand versetzen können. In der aktuellen Ausgabe von «Cell Reports» zeigen die Forscher den genauen Wirkmechanismus und erklären, wieso ihre Entdeckung neue Einblicke in die Evolution von Krankheitserregern gibt.
Umwelt - Biowissenschaften - 13.08.2015

Menschen und Tiere sind nie allein. Jeder Mensch beherbergt über zweitausend Arten von Bakterien, die meisten davon besiedeln den Körper erst nach der Geburt. Generalisten unter den Bakterien, so sollte man meinen, hätten dabei einen Vorteil. Zoologen des Departements Umweltwissenschaften an der Universität Basel haben nun gezeigt, dass offensichtlich das Gegenteil der Fall ist.
Psychologie - Mathematik - 11.08.2015

Das menschliche Gedächtnis besteht aus unterschiedlichen Vorgängen wie Lernen, Erinnern und Vergessen. Jedoch lassen sich diese Prozesse nicht direkt untersuchen. Wissenschaftlern der Universität Basel ist es nun gelungen, diese Vorgänge in einem mathematischen Modell zu beschreiben. Dadurch konnten die Forscher erstmals Gene identifizieren, welche die einzelnen Gedächtnisprozesse steuern.
Geschichte & Archeologie - Sozialwissenschaften - 06.08.2015
Ausgrabungen in Francavilla Marittima: Krieger in Kalabrien
Geduld und Präzision: Eine Studentin legt in einem Kriegergrab ein Eisenschwert frei. (Bild: Universität Basel, Departement Altertumswissenschaften) Archäologen der Universität Basel haben im süditalienischen Francavilla Marittima zwei Kriegergräber aus dem 8.Jahrhundert v. Chr.
Physik - Maschinenbau - 03.08.2015

Wissenschaftler des Swiss Nanoscience Institute der Universität Basel haben mithilfe von Federbalken aus einkristallinen Diamanten ein neuartiges Bauteil entwickelt, bei dem ein Quantensystem in ein mechanisches schwingendes System integriert ist. Erstmals konnten die Forschenden zeigen, dass sich mit diesem mechanischen System ein im Federbalken eingebetteter Elektronenspin kohärent manipulieren lässt - und zwar ohne externe Antennen oder komplexe mikroelektronische Strukturen.
Recht - Wirtschaft - 29.07.2015

Wie wirken sich Transparenzregeln auf Investor-Staat-Schiedsverfahren aus? Dimitrij Euler, Doktorand im Fachbereich Wirtschaftsvölkerrecht, hat dazu einen Kommentarband mit herausgegeben.
Gesundheit - Pharmakologie - 28.07.2015
Stresshormon vermindert Verlangen nach Heroin
Jede Sucht ist gekennzeichnet durch ein starkes Verlangen nach dem entsprechenden Suchtmittel wie Nikotin, Alkohol oder anderen Drogen. Forscher der Universität Basel zeigen nun in einer Studie bei Heroinabhängigen, dass das Stresshormon Cortisol das Suchtverlangen reduzieren kann. Die Fachzeitschrift «Translational Psychiatry» hat die Forschungsresultate veröffentlicht.
Astronomie & Weltraum - Chemie - 16.07.2015
Altes astronomisches Rätsel steht vor der Auflösung
Forschern der Universität Basel ist es erstmals gelungen, zweifelsfrei ein Molekül zu identifizieren, das im interstellaren Raum für die Absorption von Sternenlicht verantwortlich ist. Dabei handelt es sich um das positiv geladene Buckminster-Fulleren, das sogenannte Fussballmolekül. Dies berichten sie in der aktuellen Ausgabe der Fachzeitschrift «Nature».
Biowissenschaften - Gesundheit - 07.07.2015

Eine fehlerfreie Weitergabe des Erbguts während der Zellteilung verhindert, dass Tumorzellen entstehen. Forscher am Biozentrum der Universität Basel haben nun eine wichtige Funktion des menschlichen Enzyms Plk1 entdeckt. Es übernimmt eine wesentliche Rolle bei der Überwachung der Chromosomen-Trennung.
Pharmakologie - Gesundheit - 06.07.2015
Wirkstoff zur Behandlung von Sichelzellenanämie vor Phase-III-Studie
Zielgruppeneinstiege Navigation Mitarbeitende weitere Informationen Alumni weitere Informationen Medien weitere Informationen Forschende weitere Informationen Dozierende weitere Informationen Doktori
Sozialwissenschaften - 03.07.2015
Streitpunkt Hafen - Studie über die Proteste gegen die Umgestaltung des Rheinhafens erschienen
Zielgruppeneinstiege Navigation Mitarbeitende weitere Informationen Alumni weitere Informationen Medien weitere Informationen Forschende weitere Informationen Dozierende weitere Informationen Doktori
Sozialwissenschaften - 01.07.2015
Die seltsamen Sexualpraktiken des Plattwurms
Zielgruppeneinstiege Navigation Mitarbeitende weitere Informationen Alumni weitere Informationen Medien weitere Informationen Forschende weitere Informationen Dozierende weitere Informationen Doktori
Gesundheit - Agronomie & Lebensmittelingenieur - 29.06.2015
Ist die Ehe gut oder schlecht für die Figur? Ein Vergleich von neun europäischen Ländern
Zielgruppeneinstiege Navigation Mitarbeitende weitere Informationen Alumni weitere Informationen Medien weitere Informationen Forschende weitere Informationen Dozierende weitere Informationen Doktorierende weitere Informationen Studieninteressierte weitere Informationen Studierende weitere Informationen Studierende aus dem Ausland weitere Informationen Es wird allgemein angenommen, dass sich die Ehe positiv auf Gesundheit und Lebenserwartung auswirkt.
Gesundheit - 25.06.2015

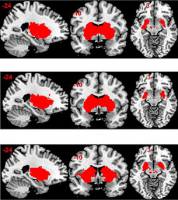
Zielgruppeneinstiege Navigation Mitarbeitende weitere Informationen Alumni weitere Informationen Medien weitere Informationen Forschende weitere Informationen Dozierende weitere Informationen Doktorierende weitere Informationen Studieninteressierte weitere Informationen Studierende weitere Informationen Studierende aus dem Ausland weitere Informationen Fruchtzucker sättigt nicht nur weniger, sondern stimuliert auch das Belohnungssystem im Gehirn in geringerem Mass als Traubenzucker.
Biowissenschaften - Gesundheit - 23.06.2015
Neue Erkenntnisse zum Keuchhustenerreger
Zielgruppeneinstiege Navigation Mitarbeitende weitere Informationen Alumni weitere Informationen Medien weitere Informationen Forschende weitere Informationen Dozierende weitere Informationen Doktorierende weitere Informationen Studieninteressierte weitere Informationen Studierende weitere Informationen Studierende aus dem Ausland weitere Informationen Seit 2010 ist der Erreger des Keuchhustens weltweit wieder auf dem Vormarsch.
Biowissenschaften - 17.06.2015
Wie das Gehirn Wichtiges von Unwichtigem unterscheiden lernt
Zielgruppeneinstiege Navigation Mitarbeitende weitere Informationen Alumni weitere Informationen Medien weitere Informationen Forschende weitere Informationen Dozierende weitere Informationen Doktori
Sozialwissenschaften - 26.3
«Es wäre naiv zu glauben, dass ein Social-Media-Verbot alle Probleme löst»
«Es wäre naiv zu glauben, dass ein Social-Media-Verbot alle Probleme löst»











